Lava -12 מערכת aneurysms aneurysms ineurysm
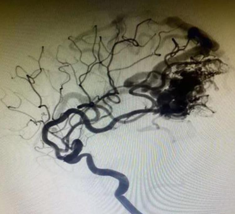
כאשר לבהTMמערכת מפרצת תוך גולגולתית מערכת תסמונת נוזלית יוצרת קשר עם הדם או כל פיתרון מימי, פני השטח שלה יתמצקו מייד וייצור סרט מגן. DMSO בחומר הסמלי מדולל ומפוזר בדם, כך שאבקת טנטלום עטופה על ידי EVOH משקפת ומתמצקת מבחוץ אל פנים. יחד עם זאת, לבה מפוזרת עד רחוק בלחץ ההזרקה. לבסוף, הוא יוצר גוף תסמכי ספוגי בעמדת הסחיבה.

לָבָהTMמערכת Aneurysm Embolization עשויה מחומר שאינו דבק, כך שהיא בטוחה יותר ולא מקל את הקטטר.
זוהי נוסחה ייחודית עם צמיגות נמוכה עם טווח שלם של דגמים lava -12, lava -18 ולבה -34.
יש לו פיזור וחדירה טובים יותר. וזה יכול לחדור עמוק לנגע ולהגיע לכלי הדיסטלי.
אבקת הטנטלום עדינה יותר, משקעת לאט יותר ורדיוגרפיה ברורה יותר בהשוואה למתחרים.

הערות עבורמפרצת תוך גולגולתית
● שימו לב אם החומר הסמלי של נוזל הלבה מתמצק, אם כן, יש להפשר אותו ראשית.
● הניחו את הוויברטור נוזלי לבה על הוויברטור.
● התאם את הוויברטור לרמה הגבוהה.
● לא פחות מ 20 דקות לטלטול
● עד להשתמש בו.
|
קוד מוצר |
צְמִיגוּת |
תיאורים |
|
Lava -12 |
12 CST |
צמיגות נמוכה יותר, נוזלית יותר, עבור מיקרו -עלים דיסטליים; |
|
Lava -18 |
18 CST |
נוסחה סטנדרטית, שימוש כללי; |
|
Lava -34 |
34 CST |
צמיגות גבוהה יותר, לכלי זרימה גבוהה. |











